咨询电话
您现在的位置: 温州华侨伤骨科医院医院 >> 病例分享 >> 正文
儿童胫腓骨骨折

来源:温州华侨伤骨科医院-门诊真实病例

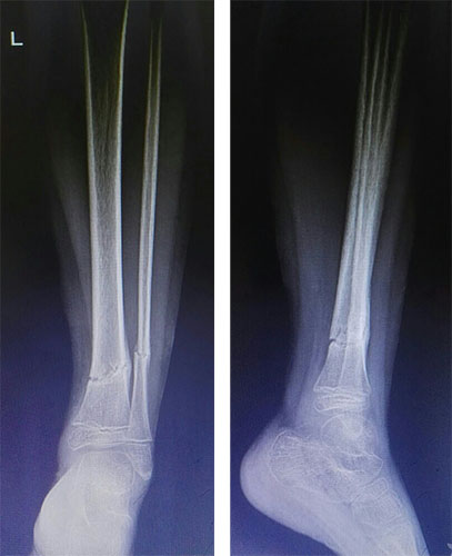
患儿,男,7岁,跌倒致左小腿肿痛畸形,即往当地医院就诊,予手法复位,石膏固定,现为伤后13天,来我院就诊,摄x线如下:

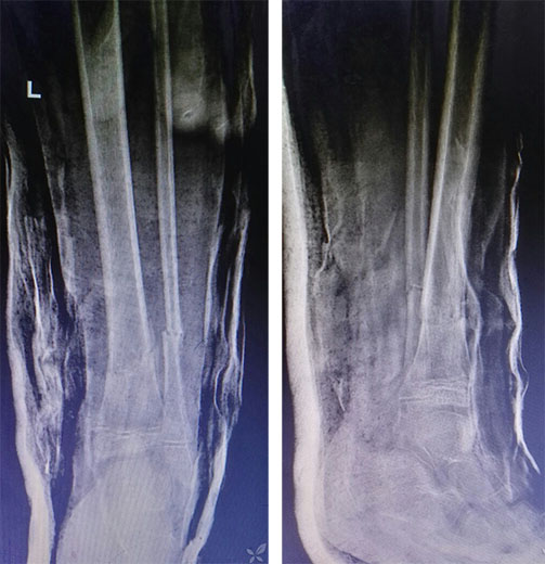
复位后20天复查X线,基本满意,可见连续骨痂通过骨折端,为避免长期跖屈导致跟腱及屈趾肌腱挛缩粘连,改踝关节功能位固定

治疗一个月后复查:

4个月后复查:

  医院电话:0577-88837157

  应聘咨询:15957712331

查看大图

地址:温州市龟湖路169号(蒲鞋市小学对面)

   可乘坐以下公交到“龟湖邮电站”下车