您现在的位置: 温州华侨伤骨科医院医院 >> 病例分享 >> 正文
跟骨骨折(空心钉固定)
来源:温州华侨伤骨科医院-真实病例
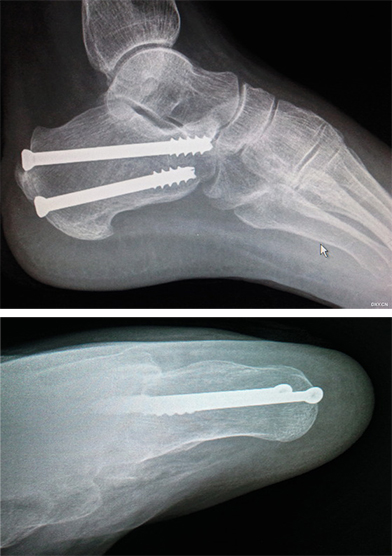
患者,女,76岁,跟骨骨折1小时入院,考虑手术风险患者起先不愿手术,石膏托外固定,2周后在我院医护人员的再三劝说,答应微创。考虑到患者年纪已经76岁,体质差,跟骨钢板固定切口大,伤口延迟愈合或不愈合可能,主刀王雷医师决定空心钉固定跟骨骨折。
术前外观:
.jpg)
.jpg)
手术在透视下经皮用斯氏针闭合撬拨复位,空心钉内固定,术程顺利,术后外观及X线:
.jpg)
.jpg)
(该文章由王雷医师发表于丁香园论坛 查看全文)









