您现在的位置: 温州华侨伤骨科医院医院 >> 病例分享 >> 正文
跖骨骨折保守治疗
来源:温州华侨伤骨科医院-真实病例
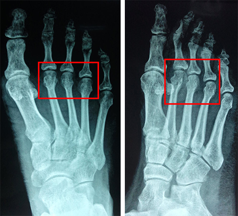
患者男,50岁,体健,跌倒致右足肿痛畸形1小时就诊,查体:右第2-4跖趾关节肿痛畸形,活动受限,末梢血运可,感觉存。X线如下:
.jpg)
诊断:右第二跖骨骨折,右第三四跖趾关节脱位
治疗方案:手法整复。整复后摄X线如下:
.jpg)
伤后三个半月,患者步行自如复诊,复查X线如下(原右第二跖骨骨折断端对位对线良好,原右第三四跖趾关节脱位已复位):
.jpg)
(该文章由王雷医师发表于丁香园论坛 查看全文)









